Cornea & Keratoconus Treatment
- Services
- Cornea
CORNEA & OCULAR SURFACE
The cornea is the clear front surface of the eye. It plays a pivotal role in your vision. It not only acts as a protective barrier but also focuses light on the retina, allowing you to see the world around you. At AcuraVision, we understand the importance of corneal health and offer specialised care for a range of conditions affecting this vital structure. In this article, we will explore corneal ectasia and keratoconus, corneal dystrophy, post-surgery corneal decompensation, corneal ulcers, limbal stem cell deficiency, and various corneal transplant surgeries.
Corneal Ectasia and Keratoconus
This term is used to describe a group of disorders where the normally round cornea thins and bulges into a distorted and exaggerated dome-shape, causing distorted vision. These disorders include keratoconus, Pellucid marginal degeneration, keratoglobus and a few other rare disorders with keratoconus being the most prevalent type of ectasia.
The exact etiology of keratoconus is unknown, but it is believed to be due to a combination of genetic, environmental, and cellular factors. The main problem in vision caused by keratoconus is irregular astigmatism, which leads to blurring and distortion of images that cannot be fully corrected by spectacles alone. Treatment options include soft contact lenses for early stages, while more advanced cases may require rigid gas-permeable lenses, scleral lenses, or surgical interventions such as corneal cross-linking, laser assisted / topography-guided customized cross-linking, or corneal transplantation. Vision rehabilitation may also involve visual aids and regular monitoring.
Corneal Ulcers (Infective Keratitis)
A corneal ulcer is a painful and potentially sight-threatening condition where the cornea's surface becomes damaged or eroded. Common etiologies include bacterial, fungal, or viral infections; or rarely, autoimmune disorders. Antecedent events usually include trauma, or improper contact lens use that eventually leads to the infection. Symptoms include redness, pain, light sensitivity, and blurred vision.
Treatment for corneal ulcers often involves antibiotic, anti-viral or antifungal eye drops to combat the infection, along with pain relief. Severe cases may require additional surgical interventions like corneal transplant to prevent further complications and preserve the potential of vision. If not treated on time they can lead to eye shrinkage and blindness.
Corneal Dystrophy
Corneal dystrophies are a group of genetic disorders that lead to the gradual deterioration of the cornea. These conditions can manifest in various forms, affecting the clarity and smoothness of the corneal surface. While medical treatments cannot cure corneal dystrophy, they can manage its progression and alleviate symptoms.
Treatment options may include lubricating eye drops, therapeutic contact lenses. Surgical procedures offer a more decisive and long-term solution to corneal dystrophies and may be the only option in certain situations. A discussion about your type of dystrophy and treatment options must be undertaken with your doctor in order to arrive at the best management strategy.
Post-Surgery Corneal Decompensation
Corneal decompensation or bullous keratopathy is a condition that can occur after certain eye surgeries, such as cataract surgery or glaucoma procedures. It results in corneal edema (swelling) and a decrease in visual clarity.
Treatment options for post-surgery corneal decompensation often begin with conservative measures, including hypertonic saline drops or ointments to draw excess fluid out of the cornea. In more advanced cases, surgical interventions, such as Descemet's stripping automated endothelial keratoplasty (DSAEK) or Descemet's membrane endothelial keratoplasty (DMEK), may be required to replace the damaged corneal endothelium and restore vision.
Corneal Transplant Surgeries
Corneal transplant surgeries are used to replace damaged or diseased corneal tissue with healthy donor tissue. Our hospital offers several types of corneal transplant procedures, each tailored to address specific corneal conditions:
Penetrating Keratoplasty (PK)
In PK, the entire thickness of the patient's cornea is removed and a donated cornea is stitched onto the patient's eye. It is suitable for conditions affecting both the front and back layers of the cornea, but has higher rejection rate (failure of patient's body to accept the donor graft) and suture related complications.
Deep Anterior Lamellar Keratoplasty (DALK)
DALK replaces the anterior layers of the cornea while retaining the patient's healthy endothelium. It is used in cases where the endothelium is functional, leading to nearly zero rejections.
Descemet's Membrane Endothelial Keratoplasty (DMEK)
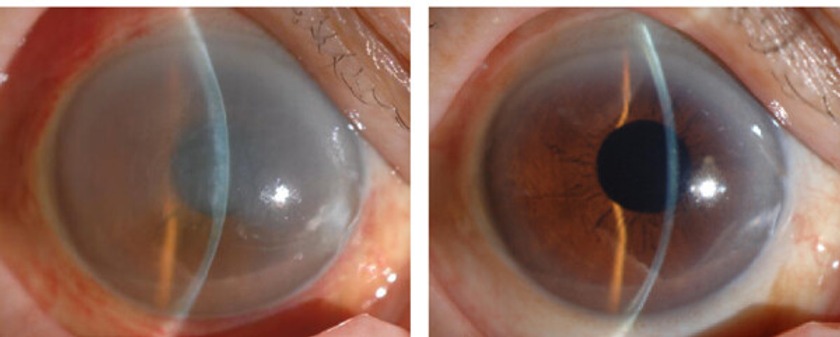
DMEK is a stitchless corneal transplant which is the most advanced corneal transplant procedure. This procedure is ideal when the patient's endothelial layer is damaged due to endothelial dystrophy (such as Fuch's Endothelial Corneal dystrophy or Congenital Hereditary Endothelial Dystrophy (CHED)) or decompensation. This procedure involves replacing only the diseased endothelium and Descemet's membrane of the patient. It offers rapid visual recovery and minimal risk of graft rejection. It is considered to be a perfect surgery wherein, the damaged part of the cornea, that is, the endothelium; is replaced precisely with a healthy donor endothelium without disturbing any other corneal layer.
Descemet's Stripping Automated Endothelial Keratoplasty (DSAEK)
It is a stitchless surgery which is used to treat conditions where the inner layer of the cornea (endothelium) is dysfunctional. It replaces only this layer, resulting in quicker visual recovery and much lesser rejection rates as compared to PK. However, a thin additional layer of stroma is also transplanted leading to slower recovery compared to DMEK.
Corneal transplant surgeries can significantly improve vision and alleviate the discomfort associated with various corneal conditions, allowing patients to regain their quality of life.
At our super-speciality eye hospital, we offer a range of services and treatments to address corneal ulcers, dystrophies, decompensation, and perform corneal transplant surgeries using advanced techniques. Our dedicated team of ophthalmologists specialising in cornea, headed by Dr. Prakhyat Roop is the best in Delhi-NCR region and is one of the most experienced in the region with surgeons trained at the reputed All India Institute of Medical Sciences (AIIMS) , New Delhi.
Why Choose AcuraVision for Cornea Care?
At our super-speciality eye hospital, we offer a range of services and treatments to address corneal ulcers, dystrophies, decompensation, and perform corneal transplant surgeries using advanced techniques. Our dedicated team of ophthalmologists specialising in cornea, headed by Dr. Prakhyat Roop is the best in Delhi-NCR region and is one of the most experienced in the region with surgeons trained at the reputed All India Institute of Medical Sciences (AIIMS), New Delhi.
- Expert cornea specialists with specialized training from AIIMS, New Delhi
- Advanced diagnostic tools including corneal topography and OCT
- State-of-the-art treatment options including cross-linking and transplantation
- Comprehensive corneal transplant procedures (PK, DALK, DMEK, DSAEK)
- Specialty contact lens fitting for complex corneal conditions
- Comprehensive care from diagnosis to follow-up